PFO and ASD are both congenital heart conditions that involve abnormalities in the septum, which is the wall that separates the different chambers of the heart. Let me explain each of these conditions:
  • Patent Foramen Ovale (PFO): A PFO is a small hole or flap-like opening between the two upper chambers of the heart, known as the atria. During fetal development, this opening is present to allow blood to bypass the lungs since oxygen is received from the mother's placenta rather than breathing. Normally, after birth, this hole should close on its own within the first few months. However, in some individuals, the PFO remains open.
When the PFO remains patent (open), there is a potential for blood to flow abnormally from the right atrium to the left atrium instead of flowing through the lungs. In certain situations, this can allow small blood clots or debris to bypass the lungs and travel to the brain, which may cause a stroke or other neurological problems. PFOs are relatively common and often go unnoticed unless they cause complications or are incidentally found during medical evaluations for other conditions.
  • Atrial Septal Defect (ASD): An ASD is a more significant congenital heart defect where there is a larger hole in the atrial septum. Unlike a PFO, the opening in an ASD does not have a natural flap covering it. This can lead to a more significant shunting of blood between the atria, potentially causing a larger volume of blood to bypass the lungs and recirculate through the body.
ASDs are usually diagnosed early in life, but in some cases, they may not be detected until adulthood if they are small and do not cause noticeable symptoms. Larger ASDs can cause symptoms such as shortness of breath, fatigue, and recurrent respiratory infections due to increased blood flow to the lungs.
Both PFOs and ASDs can be detected through various imaging tests, such as echocardiograms. Treatment options for these conditions may vary depending on their size and whether they cause any symptoms or complications. Small PFOs and ASDs that don't cause problems may not require treatment. However, larger defects or those causing issues may be treated with procedures to close the hole, either through open-heart surgery or minimally invasive catheter-based techniques. Treatment decisions are made on an individual basis, and patients with these conditions require medical follow-up and monitoring to manage their heart health effectively.
PFO/ASD Closure : ASD is commonly referred as hole in the heart
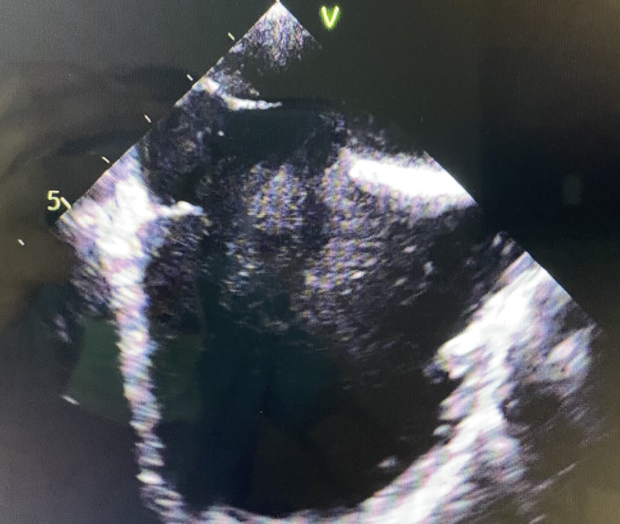
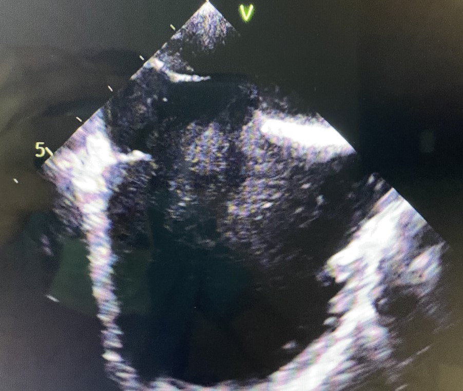
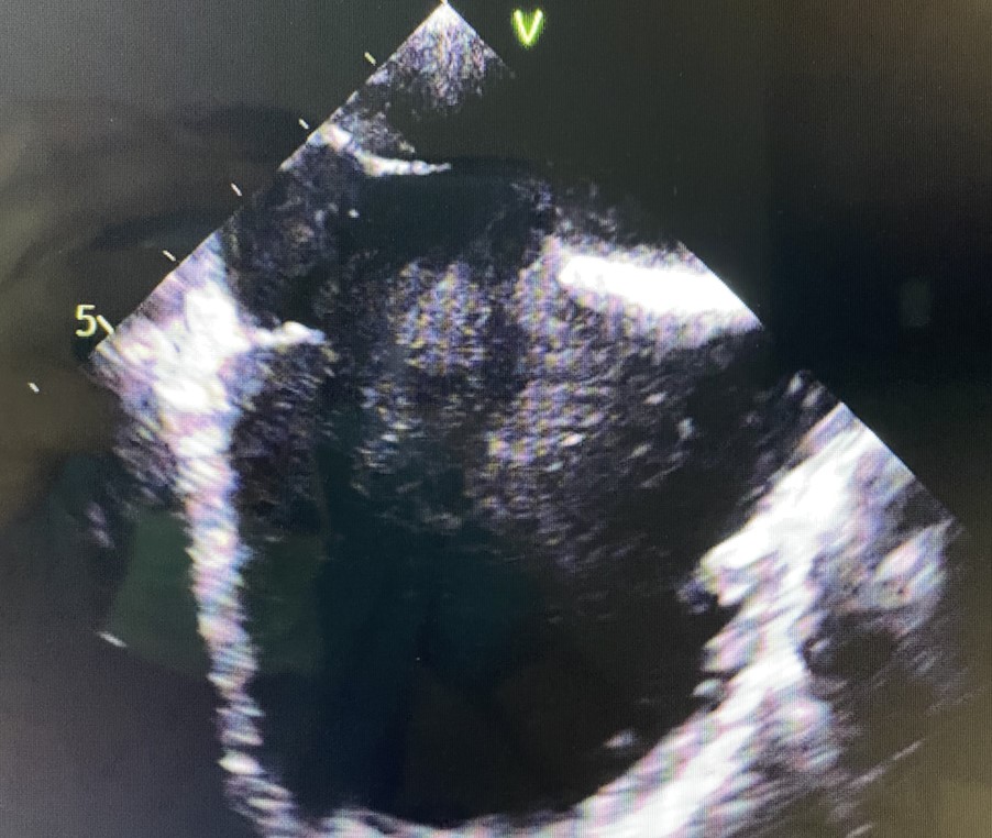
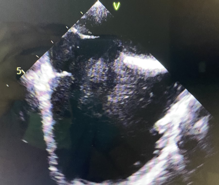
Transesophageal Echocardiogram showing large ASD
Fluoroscopy image showing closure of atrial septal defect with Amplatz device